Tập thể dục là một trụ cột quan trọng trong dự phòng và nâng cao sức khỏe. Tuy nhiên, khi cường độ và tần suất tập luyện vượt quá khả năng thích nghi của cơ thể, lợi ích sinh học sẽ bị đảo ngược, dẫn đến nhiều rối loạn chức năng và nguy cơ bệnh lý. Trong y học thể thao, tình trạng này được gọi là tập luyện quá mức (overtraining) và đã được chứng minh có ảnh hưởng toàn diện đến nhiều hệ cơ quan.
1. Cơ chế sinh lý của tập luyện và phục hồi
Trong quá trình tập luyện, đặc biệt với các bài tập cường độ trung bình đến cao, cơ thể phải trải qua nhiều biến đổi sinh lý đồng thời. Các sợi cơ xuất hiện những vi tổn thương nhỏ, nguồn năng lượng dự trữ dưới dạng glycogen trong cơ và gan bị tiêu hao đáng kể, trong khi hệ thần kinh trung ương liên tục bị kích thích để duy trì hoạt động vận động. Song song đó, nồng độ các hormone stress, đặc biệt là cortisol, tăng lên nhằm đáp ứng với tình trạng gắng sức.
Sau khi kết thúc vận động, cơ thể cần một khoảng thời gian nhất định để phục hồi thông qua quá trình tái tổng hợp năng lượng, sửa chữa và tái cấu trúc các sợi cơ, đồng thời thiết lập lại sự cân bằng nội môi và nội tiết. Đây là giai đoạn mang tính quyết định giúp cơ thể thích nghi và trở nên khỏe hơn.
Tuy nhiên, khi việc tập luyện diễn ra liên tục với cường độ cao mà không có thời gian nghỉ ngơi phù hợp, các quá trình phục hồi bị gián đoạn. Khi đó, cơ thể rơi vào trạng thái dị hóa, trong đó quá trình phân hủy mô chiếm ưu thế hơn quá trình tái tạo. Hệ quả là thể lực suy giảm, nguy cơ chấn thương tăng cao và nhiều rối loạn sinh lý bắt đầu xuất hiện.

Cấu tạo của một bắp cơ
2. Hội chứng quá tải (Overtraining Syndrome)
Hội chứng quá tải là hậu quả điển hình của việc mất cân bằng kéo dài giữa tập luyện và phục hồi. Đây không chỉ là trạng thái mệt mỏi thông thường mà là một rối loạn chức năng toàn thân.
Biểu hiện lâm sàng chi tiết:
Toàn thân:
- Mệt mỏi kéo dài, không tương xứng với mức độ vận động
- Giảm khả năng chịu đựng và hiệu suất tập luyện
- Thời gian hồi phục sau tập kéo dài bất thường
Thần kinh – tâm lý:
- Rối loạn giấc ngủ (khó ngủ, ngủ không sâu)
- Dễ kích thích, lo âu hoặc giảm hứng thú tập luyện
- Giảm khả năng tập trung và ghi nhớ
Tim mạch:
- Nhịp tim khi nghỉ tăng cao hơn bình thường
- Nhịp tim phục hồi chậm sau khi ngừng tập
- Cảm giác hồi hộp, đánh trống ngực
Chuyển hóa:
- Giảm cảm giác thèm ăn
- Sụt cân không chủ ý
Nếu không được phát hiện sớm, tình trạng này có thể kéo dài nhiều tuần đến nhiều tháng và ảnh hưởng nghiêm trọng đến sức khỏe tổng thể.
3. Ảnh hưởng đến hệ nội tiết và chuyển hóa
Tập luyện quá mức làm rối loạn trục điều hòa nội tiết, đặc biệt là trục hạ đồi – tuyến yên – thượng thận:
- Tăng cortisol kéo dài: thúc đẩy quá trình dị hóa, làm mất khối cơ, tăng tích mỡ nội tạng và gây rối loạn đường huyết
- Giảm testosterone (ở nam): dẫn đến giảm sức mạnh cơ bắp, mệt mỏi và giảm chức năng sinh lý
- Rối loạn hormone sinh dục (ở nữ): có thể gây thiểu kinh hoặc vô kinh
Ngoài ra, tình trạng thiếu năng lượng kéo dài kết hợp với rối loạn nội tiết có thể làm giảm mật độ xương, tăng nguy cơ loãng xương và gãy xương.
4. Tác động lên hệ tim mạch
Ở mức độ phù hợp, tập luyện giúp cải thiện chức năng tim mạch. Tuy nhiên, khi tập luyện quá mức:
- Tim phải hoạt động liên tục dưới áp lực cao dẫn đến tăng gánh cơ tim
- Có thể xuất hiện rối loạn nhịp tim do mất cân bằng điện giải và kích thích thần kinh quá mức
- Giảm khả năng hồi phục nhịp tim sau vận động – một dấu hiệu cảnh báo sớm của quá tải
Ở những người có bệnh nền tim mạch tiềm ẩn, nguy cơ xảy ra biến cố tim mạch cấp có thể gia tăng.
5. Hệ cơ xương khớp: Chấn thương do quá tải tích lũy
Tình trạng quá tải cơ học lặp đi lặp lại mà không có thời gian hồi phục làm tăng nguy cơ:
- Viêm gân: do ma sát và căng kéo kéo dài
- Đau khớp mạn tính: đặc biệt ở khớp gối, cổ chân và vai
- Gãy xương do stress: thường gặp ở xương chày, xương bàn chân
- Thoái hóa khớp sớm: do tổn thương sụn khớp kéo dài
Đây là những tổn thương mang tính tích lũy, có thể tiến triển âm thầm nhưng để lại hậu quả lâu dài.

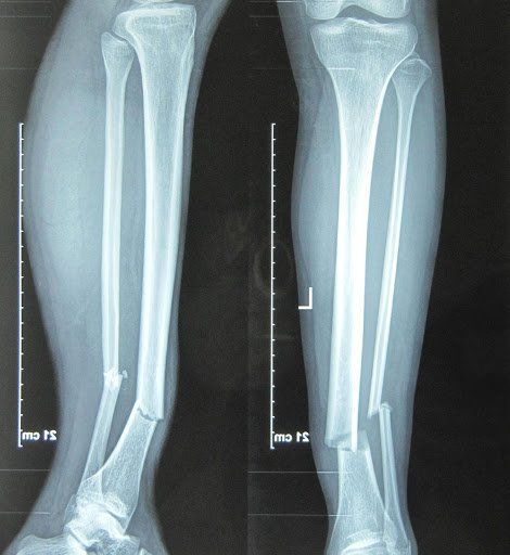
Hình ảnh XQuang gãy xương chày và xương mác
6. Ảnh hưởng đến hệ miễn dịch
Sau các buổi tập cường độ cao, cơ thể bước vào giai đoạn “cửa sổ miễn dịch” – khi chức năng miễn dịch suy giảm tạm thời. Nếu tập luyện quá mức kéo dài:
- Tăng nguy cơ nhiễm virus và vi khuẩn
- Dễ mắc các bệnh đường hô hấp trên
- Thời gian hồi phục sau bệnh kéo dài hơn
Điều này đặc biệt đáng lưu ý ở những người có chế độ dinh dưỡng và nghỉ ngơi không đầy đủ.
7. Khuyến nghị y khoa
Để phòng ngừa các hệ lụy do tập luyện quá mức, cần tuân thủ các nguyên tắc:
- Duy trì tần suất tập luyện hợp lý: 3–5 buổi/tuần
- Thời gian mỗi buổi:
- Từ 30–60 phút/buổi đối với người trưởng thành khỏe mạnh
- Có thể kéo dài đến 60–90 phút nếu bao gồm cả khởi động, tập chính và giãn cơ, nhưng cần phân bổ cường độ hợp lý
- Cấu trúc buổi tập nên bao gồm:
- 5–10 phút khởi động
- 20–40 phút tập chính
- 5–10 phút thả lỏng, giãn cơ
- Nghỉ ít nhất 24–48 giờ cho cùng nhóm cơ
- Phân bổ cường độ xen kẽ giữa các ngày (nặng – nhẹ – nghỉ)
- Đảm bảo chế độ dinh dưỡng đầy đủ, đặc biệt là protein và carbohydrate
- Ngủ đủ 7–9 giờ mỗi đêm
- Theo dõi các dấu hiệu cảnh báo sớm như mệt mỏi kéo dài, đau dai dẳng hoặc rối loạn giấc ngủ
Kết luận
Tập luyện thể dục chỉ thực sự mang lại lợi ích khi được thực hiện trong giới hạn thích hợp của cơ thể. Tập luyện quá mức không những làm giảm hiệu quả vận động mà còn gây ra nhiều rối loạn về sinh lý, nội tiết, tim mạch và miễn dịch. Vì vậy, việc xây dựng một chế độ tập luyện khoa học, kết hợp hài hòa giữa vận động và phục hồi là yếu tố then chốt để bảo vệ và nâng cao sức khỏe lâu dài.